-
03/27/2023 - Dr. David Sher - Radiation Oncology - US Head and Neck
chemotherapy, squamous cells, adjuvant radiation therapy, positive margins, carboplatin, immunosuppression, skin cancer, cisplatin, regenerative medicine, matted nodes, matted adenopathy, sebaceous carcinoma, bite block, perineural invasion, orbital nerve, PNI, liver transplant, cirrhosis, biopsy...
-
04/24/203 Dr. David Sher - Radiation Oncology - Head & Neck
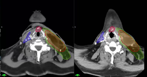
dosimetry, ipsilateral radiotherapy, randomized study, bilateral radiotherapy, cisplatin, linac, linear accelerator, Armenia, toxicity, neutropenia, gastrostomy, odynophagia, dysphasia, dehydration, anemia, blood transfusion, kidney function, SIB, symmetrical boost, sequential boost, contouring, ...
-
Head Neck Sher July31 2023 video edit 3.0
-
08/28/2023 - Dr David Sher - Radiation Oncology - Head & Head
-
09/12/2023 - Dr. Kenneth Hu - Radiation Oncology - Head & Neck
-
09/25/2023 - Dr. David Sher - Radiation Oncology - Head & Neck
-
10/17/2023 - Dr. Kenneth Hu - Radiation Oncology - Head & Neck
-
10/30/2023 - Dr. David Sher - Radiation Oncology - Head & Neck
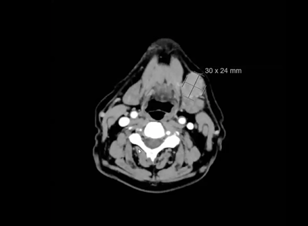
nasopharynx, MRI, PET, CT, NPX carcinoma, balloon procedure, right nasal pharyngeal carcinoma, 2A node, microscopic disease, T1, CLL, right parotid mass, squamous cell, right superficial parotidectomy, modified neck dissection, right temporal skin lesion excision, lymph node, ECE, bolus, dissecte...
-
01/29/2024 - Dr. David Sher - Radiation Oncology - Head & Neck
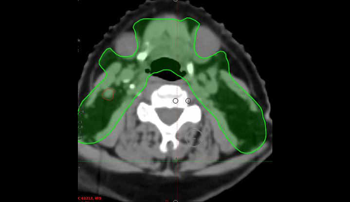
Elective Neck dose, Reirradiation, Carotid artery dose, 40Gy to neck, Pentoxyfylline and Vitamin E for neck Fibrosis, Neck failure rates, Submandibular Gland sparing, Review Dr. Sher’s plan, tongue tumor, dose versus volume, contralateral failure, oropharynx, drug trials, nasopharynx, volume desi...
-
02/26/2024 - Dr. David Sher - Radiation Oncology - Head & Neck
lymph nodes, tonsillectomy, multiple biopsies, HPV positive, NavDx, neck dissection, probability of primary emergence, lingual tonsillectomy, ipsilateral node, right node, toxicity levels, avoid the larynx, base of tongue, skin cancer, balding, postauricular lymph node, biopsy, squamous cell carc...
-
03/25/2024 - Dr. David Sher - Radiation Oncology - Head & Neck
-
04/29/2024 - Dr. David Sher - Radiation Oncology - Head & Neck
-
06/24/024 - Dr. David Sher - Radiation Oncology - Head & Neck
-
07/29/2024 - Dr. David Sher - Radiation Oncology - Head & Neck
-
08/26/2024 - Dr. David Sher - Radiation Oncology - Head and Neck
-
10/28/2024 - Dr. David Sher - Radiation Oncology - Head and Neck
-
11/25/2024 Dr. Davd Sher - Radiation Oncology - Head and Neck
-
04/28/2025 - Dr. David Sher - Radiation Oncology - Head & Neck
General Topics
Head and neck cancerOropharyngeal cancer
HPV-associated squamous cell carcinoma
Basal cell carcinoma
Post-operative radiation
Recurrent skin cancer
Tumor staging (T3 N2, AJCC)
Carcinoma with extranodal extension
PET/CT imaging
Radiation oncology case discussion
Radiation...
-
02/24/2025 - Dr. David Sher - Radiation Oncology - Head and Neck
advanced skin cancer, paranasal sinus cancer, infratemporal fossa
-
03/31/2025 - Dr. David Sher - Radiation Oncology - Head and Neck
-
06/30/2025 - Dr. David Sher - Radiation Oncology - Head & Neck
-
09/08/2025 - Dr. David Sher - Radiation Oncology - Head & Neck
-
10/31/2025 - Dr. David Sher - Radiation Oncology - Head & Neck
-
11/24/2025 - Dr. David Sher - Radiation Oncology - Head & Neck