Live stream preview

Watch this video and more on Chartrounds

Watch this video and more on Chartrounds

Subscribe

Already subscribed? Sign in

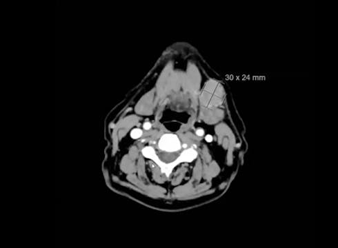
10/17/2023 - Dr. Kenneth Hu - Radiation Oncology - Head & Neck

Chartrounds US - Head and Neck Cancer • 54m

Up Next in Chartrounds US - Head and Neck Cancer

  • 10/30/2023 - Dr. David Sher - Radiat...

    nasopharynx, MRI, PET, CT, NPX carcinoma, balloon procedure, right nasal pharyngeal carcinoma, 2A node, microscopic disease, T1, CLL, right parotid mass, squamous cell, right superficial parotidectomy, modified neck dissection, right temporal skin lesion excision, lymph node, ECE, bolus, dissecte...

  • 01/29/2024 - Dr. David Sher - Radiati...

    Elective Neck dose, Reirradiation, Carotid artery dose, 40Gy to neck, Pentoxyfylline and Vitamin E for neck Fibrosis, Neck failure rates, Submandibular Gland sparing, Review Dr. Sher’s plan, tongue tumor, dose versus volume, contralateral failure, oropharynx, drug trials, nasopharynx, volume desi...

  • 02/26/2024 - Dr. David Sher - Radiati...

    lymph nodes, tonsillectomy, multiple biopsies, HPV positive, NavDx, neck dissection, probability of primary emergence, lingual tonsillectomy, ipsilateral node, right node, toxicity levels, avoid the larynx, base of tongue, skin cancer, balding, postauricular lymph node, biopsy, squamous cell carc...