Live stream preview
08/26/2024 - Dr. David Sher - Radiation Oncology - Head and Neck
Chartrounds US - Head and Neck Cancer
•
51m
Up Next in Chartrounds US - Head and Neck Cancer
-
10/28/2024 - Dr. David Sher - Radiati...
-
11/25/2024 Dr. Davd Sher - Radiation ...
-
04/28/2025 - Dr. David Sher - Radiati...
General Topics
Head and neck cancerOropharyngeal cancer
HPV-associated squamous cell carcinoma
Basal cell carcinoma
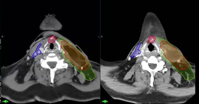
Post-operative radiation
Recurrent skin cancer
Tumor staging (T3 N2, AJCC)
Carcinoma with extranodal extension
PET/CT imaging
Radiation oncology case discussion
Radiation...