-
03/29/21 - Dr. David Sher - Radiation Oncology - Head and Neck US
Hypopharyngeal squamous cell carcinoma, lung adenocarcinoma, re-irradiation, immunotherapy and recurrent disease, pembro, palliative vs. curative,
-
03/09/21- Dr. Kenneth Hu - Radiation Oncology - Head and Neck US
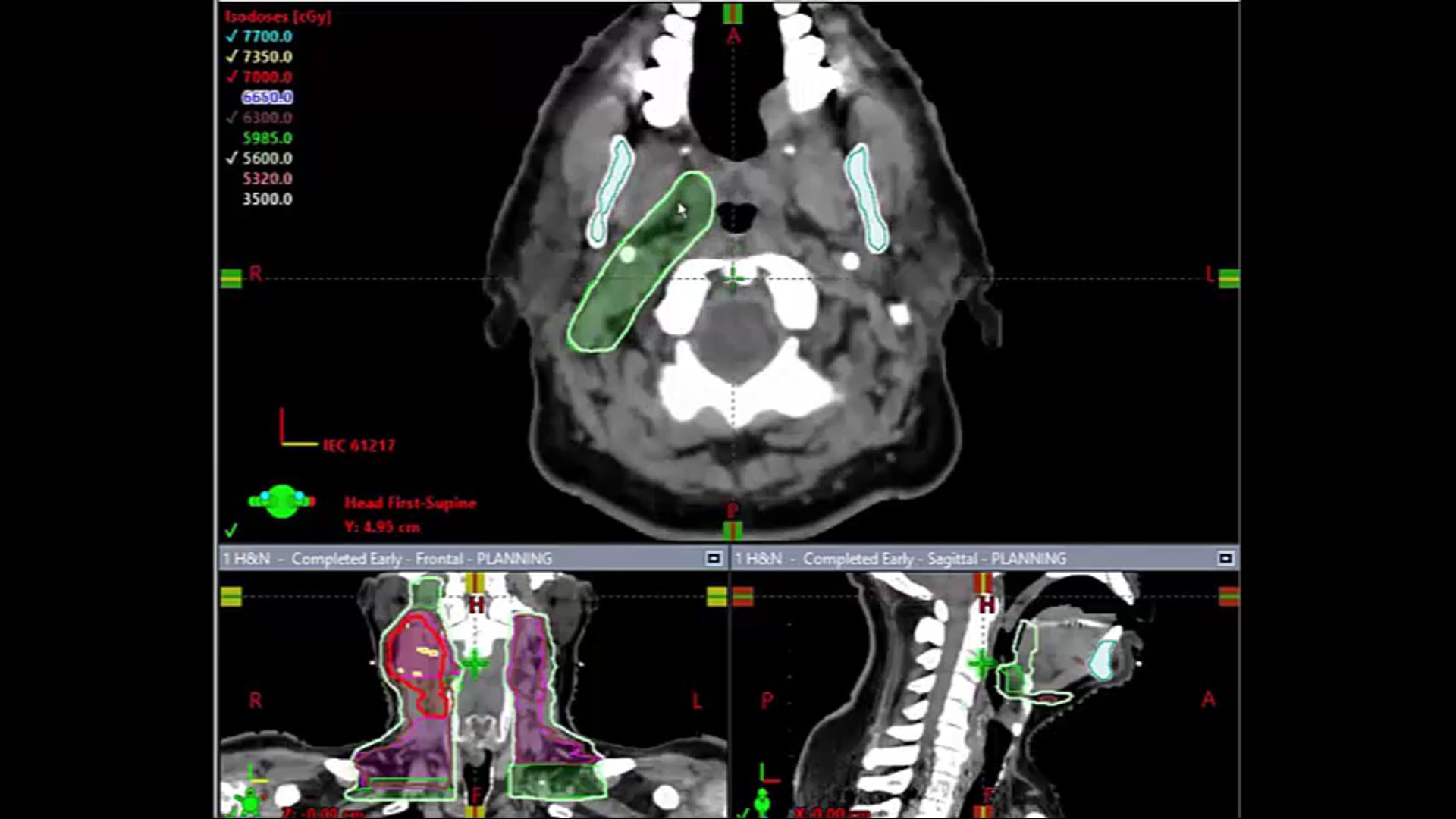
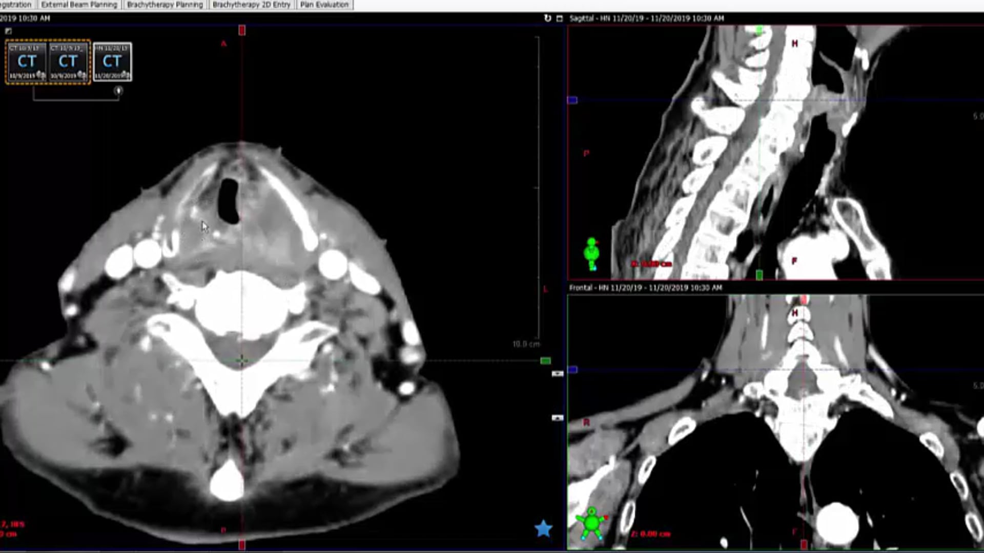
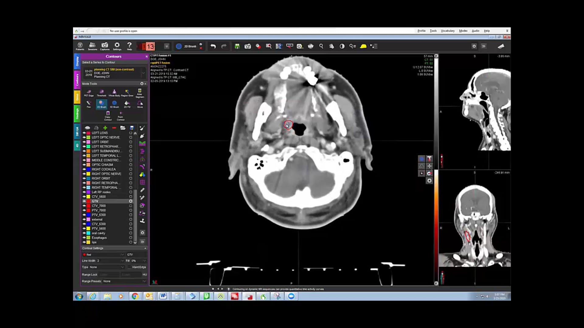
tongue-based cancer, dosimetry plan, treatment plan and contouring, contra-lateral node treatment, nasal pharynx treatment, bone invasive mass,
-
02/22/21 - Dr. David Sher - Radiation Oncology - Head and Neck US
-
02/02/21 - Dr. Kenneth Hu - Radiation Oncology - Head and Neck US
Case 1:
88 yo with Gingival T1 squamous cell carcinoma who refused surgery due to age:
- oral cavity with primary radiation
- dental tray and mouth guards for scatter radiation from metal restoration for local regional control
- hypofractionationCase 2:
62 yo R anterior tongue beginning w... -
11/23/20 - Dr. David Sher - Radiation Oncology - Head and Neck US
-
09/28/20 - Dr. David Sher - Radiation Oncology - Head and Neck US
-
08/24/20 - Dr. David Sher - Radiation Oncology - Head and Neck US
-
07/27/20 - Dr. David Sher - Radiation Oncology - Head and Neck US
-
03/10/20 - Dr. Kenneth Hu - Radiation Oncology - Head and Neck US
-
02/24/20 - Dr. David Sher - Radiation Oncology - Head and Neck US
-
12/10/19 - Dr. Kenneth Hu - Radiation Oncology - Head and Neck US
-
11/25/19 - Dr. David Sher - Radiation Oncology - Head and Neck US
-
10/28/19 - Dr. David Sher - Radiation Oncology - Head and Neck US
-
10/15/19 - Dr. Kenneth Hu - Radiation Oncology - Head and Neck US
-
09/03/19 - Dr. Kenneth Hu - Radiation Oncology - Head and Neck US
-
08/06/19 - Dr. Kenneth Hu - Radiation Oncology - Head and Neck US
-
06/24/19 - Dr. David Sher - Radiation Oncology - Head and Neck US
-
04/29/19 - Dr. David Sher - Radiation Oncology - Head and Neck US
-
03/25/19 - Dr. David Sher - Radiation Oncology - Head and Neck US
-
03/08/19 - Dr. Kenneth Hu - Radiation Oncology - Head and Neck US
-
02/25/19 - Dr. David Sher - Radiation Oncology - Head and Neck US
-
12/14/18 - Dr. Kenneth Hu - Radiation Oncology - Head and Neck US
-
04/26/21 - Dr. David Sher - Radiation Oncology - Head and Neck
-
04/13/21 - Dr. Kenneth Hu - Radiation Oncology - Head and Neck