Live stream preview
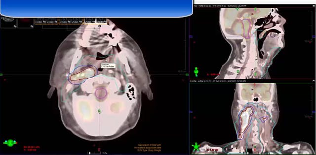
12/14/18 - Dr. Kenneth Hu - Radiation Oncology - Head and Neck US
Chartrounds US - Head and Neck Cancer
•
50m
Up Next in Chartrounds US - Head and Neck Cancer
-
04/26/21 - Dr. David Sher - Radiation...
-
04/13/21 - Dr. Kenneth Hu - Radiation...
-
06/15/2021 - Dr. Kenneth Hu - Radiati...
Neck mass carcinoma, unknown primary, tonsillectomy, neck dissection and rapid lymph node regrowth, dose, treatment fields, de-escalation for HPV