Live stream preview
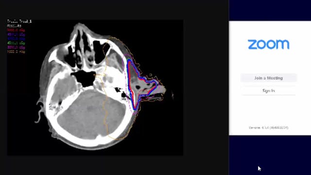
04/29/19 - Dr. David Sher - Radiation Oncology - Head and Neck US
Chartrounds US - Head and Neck Cancer
•
1h 4m
Up Next in Chartrounds US - Head and Neck Cancer
-
03/25/19 - Dr. David Sher - Radiation...
-
03/08/19 - Dr. Kenneth Hu - Radiation...
-
02/25/19 - Dr. David Sher - Radiation...