-
06/15/2021 - Dr. Kenneth Hu - Radiation Oncology - Head and Neck
Neck mass carcinoma, unknown primary, tonsillectomy, neck dissection and rapid lymph node regrowth, dose, treatment fields, de-escalation for HPV
-
06/28/2021 Dr. David Sher - Radiation Oncology - Head & Neck
malignant melanoma, treatment fields in the sinonasal area, dose, HPV positive malignancy, positive margin
-
07/26/2021 - Dr. David Sher - Radiation Oncology - US H&N
Spindle cell sarcoma, recurrent tumor, dose, squamous cell carcinoma of right tonsil, ipsilateral vs. bilateral, neck mass, CLL, contouring, ultrasounds directed biopsy,
-
08/10/2021 - Dr. Kenneth Hu - Radiation Oncology - US Head & Neck
-
08/30/2021 - Dr. David Sher - Radiation Oncology - US Head & Neck
Base of Tongue, Unknown primary
-
09/27/2021 - Dr David Sher - Radiation Oncology - US Head & Neck
-
10/25/2021 Dr. David Sher - Radiation Oncology - US Head and Neck
-
11/09/2021 - Dr. Kenneth Hu November 9 2021 - Radiation Oncology - Head & Neck
-
09/30/2021 - Dr. Kanhu Charan Patro - Radiation Oncology - India CNS
Glioma, Tumor volumes, Contouring, GTV + 2 cm margin = CTV, Trim bone, trim along the ventricles, and optic apparatus, brain stem
-
11/29/2021 - Dr. David Sher - Radiation Oncology - US Head & Neck
unknown primary
-
01/31/2022 - Dr. David Sher - Radiation Oncology - Head and Neck
-
02/28/2022 - Dr. David Sher - Radiation Oncology - Head and Neck
-
03/15/2022 - Dr. Kenneth Hu - Radiation Oncology - Head and Neck
-
03/28/2022 - Dr. David Sher - Radiation Oncology - Head and Neck
Osteoradionecrosis
-
04/12/2022 Dr. Kenneth Hu April - Radiation Oncology - Head and Neck
-
04/25/2020 - Dr. David Sher - Radiation Oncology - Head and Neck
-
06/27/2022- Dr. David Sher - Radiation Oncology - Head & Neck
palliative RT
-
08/01/2022 - Dr. David Sher - Radiation Oncology - Head & Neck
tonsil cancer, thyroid cancer, oral tongue cancer, renal cell, lip cancer
-
08/29/2022 - Dr. David Sher - Radiation Oncology - Head & Neck
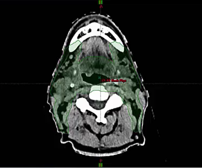
retropharyngeal lymph node, supraclavicular nodes, PET, dosimetry, GTV, QUAD SHOT, CPS, non metastatic, immunotherapy, sinonasal carcinoma
-
09/26/2022 - Dr. David Sher - Radiation Oncology - Head & Neck
Lip Cancer, Lymph node dissection, post treatment surveillance, p16, HPV, oropharynx, resection, larynx, nodal CTV
-
10/31/2022 - Dr. David Sher - Radiation Oncology - US Head & Neck
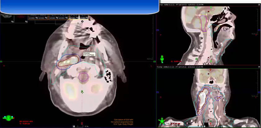
keep esophagus off 2 cm, 4-5 field VMAT, push a lot harder, omit level 6, PTV, 15 Gy, bilateral tongue, node positive, post-op tonsil, 60 Gy margins, negative margins, chemoradiation, ipsilateral neck, cisplatin, T2N2, tonsillectomy, left neck dissection, SCC, CTV, uvula, soft palate
-
11/28/2022 - Dr. David Sher - Radiation Oncology - US Head & Neck
Autocontouring, lymph node stages, T stages, cisplatin, immunotherapy radiation, survival rate, osteosarcoma in dogs, bone structure, multiple recurrences, tongue cancer, buccal mucosa, oral cavity, ultrasound surveillance, ulcer, oral squamous cell carcinoma, tumor, excisional biopsy, hemiglosse...
-
02/16/2023 - Dr. Cessal Kainickal - Radiation Oncology - India Head & Neck
PPF, maxilla, posterior, anterior, lateral, inferior, superior, medial, pterygopalatine ganglion, pterygomaxillary fissure, infratemporal fossa, ITF, PNI, sphenopalatine foramen, foramen rotundum, cavernous sinus. vidian canal, pterygoid canal, vidian nerve, artery, vein, pharyngeal canal, inferi...
-
02/27/2023 - Dr. David Sher - Radiation Oncology - US Head & Neck
low risk nodes, hypofractionation, 30 Gy, 40 Gy, sequential boost, simultaneous-integrated boost, SIB, left temple, scab, pembrolizumab adjuvant therapy, occipital node, biopsy, ultrasound, primary site, fraction boost, melanoma, resection, 48 Gy in 20, electrons, superficial, lacrimal gland, IMR...