Live stream preview
06/28/2021 Dr. David Sher - Radiation Oncology - Head & Neck
Chartrounds US - Head and Neck Cancer
•
55m
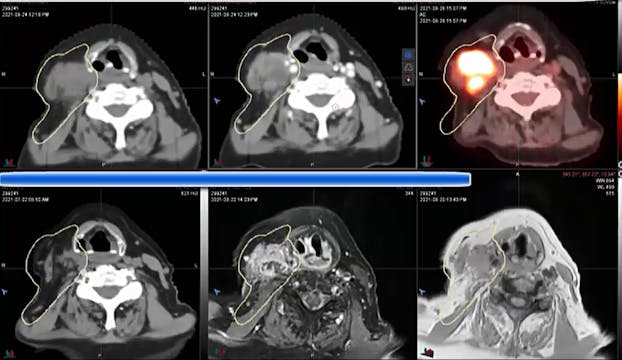
malignant melanoma, treatment fields in the sinonasal area, dose, HPV positive malignancy, positive margin
Up Next in Chartrounds US - Head and Neck Cancer
-
07/26/2021 - Dr. David Sher - Radiati...
Spindle cell sarcoma, recurrent tumor, dose, squamous cell carcinoma of right tonsil, ipsilateral vs. bilateral, neck mass, CLL, contouring, ultrasounds directed biopsy,
-
08/10/2021 - Dr. Kenneth Hu - Radiati...
-
08/30/2021 - Dr. David Sher - Radiat...
Base of Tongue, Unknown primary