-
GU Sandler August 6 2021 video no images shared
Flame trial, treating lymph nodes, Prostate cancer planning based on age, decipher testing, external beam radiation, CBCT
-
08/26/2021 - Dr. Ronald Chen - Radiation Oncology - US GU
-
09/14/2021 - Dr. Howard Sandler - Radiation Oncology - US GU
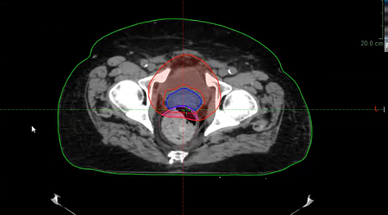
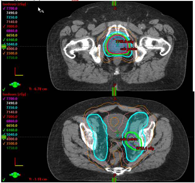
PSMA .4, PSA values, pelvic dose 45-50 / 180 s, integrated boost - 2.2 to + LN to the BMA pos.
RadNet - ownerships F18 progenetics
PSMA - early salvage don't wait
PSMA pet in India - $200.00 -
10/12/2021 - Dr. Howard Sandler - Radiation Oncology - GU US
-
11/11/2021 - Dr. Ronald Chen - Radiation Oncology - GU US
-
12/14/2021 - Dr. Howard Sandler - Radiation Oncology - US GU
-
01/19/2022 - Dr.Ronald Chen - Radiation Oncology - US GU
-
02/01/2022 - Dr. Howard Sandler - Radiation Oncology - GU
-
02/24/2022 - Dr. Ronald Chen - Radiation Oncology - GU
-
03/01/2022 Dr. Howard Sandler - Radiation Oncology - GU
-
03/24/2022 - Dr. Ronald Chen - Radiation Oncology - GU
-
04/05/2022 - Dr. Howard Sandler - Radiation Oncology - GU
-
04/21/2022 - Dr. Ronald Chen - Radiation Oncology - GU
-
05/26/2022 - Dr. Ronald Chen - Radiation Oncology - GU
-
06/16/2022 - Dr. Howard Sandler - Radiation Oncolog - GU
-
06/23/2022 - Dr. Ronald Chen - Radiation Oncology - GU
-
07/28/2022 - Dr. Ronald Chen - Radiation Oncology - GU
prostate cancer, local recurrence, PSA, ADT, fistula, cardiac comorbidity, brachytherapy, external beam radiation, high risk
-
08/18/2022 - Dr. Ronald Chen - Radiation Oncology - GU
bladder preservation therapy, prostate, ADT, BC2001, prostate, PSA, survival difference
-
09/22/2022 - Dr. Ronald Chen - Radiation Oncology - US GU
Gleason 6, Low Risk, Watchful waiting, SBRT toxicity, SIB, bladder cancer, low pelvis, hypofractionation, defining target, PSMA, prostate cancer, pT3aN0M0, rpT3acN1M0
-
10/11/2022 - Dr. Howard Sandler - Radiation Oncology - GU
IGRT, SBRT, fractionation, intratreatment, brachytherapy, urology, ADT, PSMA, PSA
-
11/15/2022 - Dr. Howard Sandler - Radiation Oncology - US GU
pelvic radiation, PSA recurrence, pelvic nodal radiation, ADT, RT, metastatic prostate cancer, SBRT, hormone therapy, skeletal metastatic disease, asymptomatic, femur, internal mammary radiation, urology, single-dose carboplatin
-
11/17/2022 - Dr. Ronald Chen - Radiation Oncology - US GU
Gleason score, active surveillance, periodic biopsy, prostate gland, pelvis, SIB, radiation-induced fibrosis, brachial plexus, head and neck, scleroderma, SBRT, TNM staging, bladder cancer, ASTRO, PSMA PET imaging, salvage prostatectomy, PSA
-
12/22/2022 - Dr. Ronald Chen - Radiation Oncology - US GU
ADT, androgen deprivation therapy, LHRH antagonist, PSMA PET scan, definitive radiation, local salvage treatment, salvage brachytherapy, prostate cancer, PSA, genomic testing, brachytherapy, Gy, lymph nodes, pelvis, high risk intact patients, pelvic radiation, Mack Roach trials, salvage SBRT, loc...
-
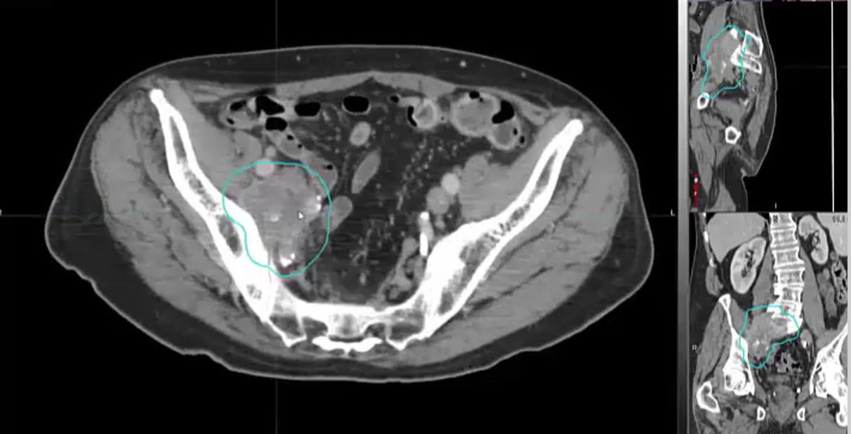
01/26/2023 - Dr. Patricia H. Hardenbergh - Radiation Oncology - US GU
urethral tumor, urothelial carcinoma, PET, CT, palliative treatment, mediastinal nodes, biopsy, prostate gland, PSMA, false positive, pelvis with nodes, bone lesions, PSA, bladder