Live stream preview
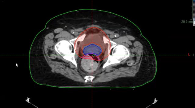
05/26/2022 - Dr. Ronald Chen - Radiation Oncology - GU
Chartrounds US - GU
•
28m
Up Next in Chartrounds US - GU
-
06/16/2022 - Dr. Howard Sandler - Rad...
-
06/23/2022 - Dr. Ronald Chen - Radiat...
-
07/28/2022 - Dr. Ronald Chen - Radiat...
prostate cancer, local recurrence, PSA, ADT, fistula, cardiac comorbidity, brachytherapy, external beam radiation, high risk