Palliative Care
-
10/01/20 - Dr. Candice Johnstone - Radiation Oncology - Palliative Care US
lung cancer favoring adenocarcinoma, oligometastatic disease, SBRT, treatment near spinal cord, Gomez trial, Palma Trial
-
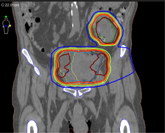
03/05/20 - Dr. Candice Johnstone - Radiation Oncology - Palliative Care US
prostate carcinoma, hemibody radiotherapy, invasive mammary carcinoma, recurrent oligometastatic disease, spatially fractionated radiation therapy,
-
06/06/19 - Dr. Candice Johnstone - Radiation Oncology - Palliative Care US
Metastatic carcinoma, dose constraints, liver disease, hypofractionation, ER+ breast cancer, hypothermia treatment, small bowel treatment, metastatic breast cancer
-
03/07/19 - Dr. Candice Johnstone - Radiation Oncology - Palliative Care US
Palliative treatment, advanced rectal cancer, local regional disease, dose, systemic therapy, hemoptysis, fibrosis, large endometrial mass
-
02/07/19 - Dr. Candice Johnstone - Radiation Oncology - Palliative Care US
Invasive squamous cell carcinoma, pelvic pain, vaginal invasion, radiation boost, metastatic disease, sarcoma, uterine sarcoma,
-
06/03/2021 - Dr. Candace Johnstone - Radiation Oncology - Palliative
Recurrent lung carcinoma, dose, metastatic colon cancer treatment with hemoptysis, quad shot radiation,
-
04/01/2021 - Dr. Candice Johnstone - Radiation Oncology - Palliative
-
07/01/2021 - Dr. Candace Johnstone - Radiation Oncology - US Palliative
palliative care, oligometastatic cancer, treatment of lung tumors with SBRT, dose fractionation for lung cancer, patient selection
-
10/07/2021 - Dr. Candice Johnstone - Radiation Oncology - US Palliative
-
11/04/2021 - Dr. Candice Johnstone - Radiation Oncology - US Palliative
-
02/10/2022 - Dr Candice Johnstone - Radiation Oncology - Lung and Palliative
-
03/10/2022 - Dr. Candice Johnstone - Radiation Oncology - Palliative
-
12/08/2022 - Dr. Rajiv Sarin - Radiation Oncology - India Bone Mets
radiotherapy, MRI, prostate cancer, modalities, sequence, skillful treatment, asymptomatic mets, anticipating trouble, evaluating the patient and symptoms, therapeutic and rehab goals, clinical and neurological signs, metastases, bones, cord, nerves, clinical benefit, primary site identification,...
-
04/20/2023 - Dr. Candice Johnstone - Radiation Oncology - Palliative
stomach METs, melanoma, palliatve care, metastatic, bleeding stomach, immunotherapy, radiation therapy, lymphoma, low grade, locally recurrent, first principles, lung tumors, steroids, prednizone, dexamethasone, oral morphine, morphine drip, vaginal discharge, MRI, primary tumors, lymph nodes, me...
-
07/20/2023 - Dr. Candice Johnstone - Radiation Oncology - Palliative