-
03/11/21 - Dr. Candice Johnstone - Radiation Oncology - Lung US
-
10/29/20 - Dr. Candice Johnstone - Radiation Oncology - Lung US
-
06/18/20 - Dr. Candice Johnstone - Radiation Oncology - Lung US
-
11/21/19 - Dr. Candice Johnstone - Radiation Oncology - Lung US
-
10/31/19 - Dr. Larry Marks - Radiation Oncology - Lung US
-
09/26/19 - Dr. Larry Marks - Radiation Oncology - Lung US
-
08/29/19 - Dr. Larry Marks - Radiation Oncology - Lung US
-
06/13/19 - Dr. Larry Marks - Radiation Oncology - Lung US
-
05/23/19 - Dr. Larry Marks - Radiation Oncology - Lung US
-
04/01/19 - Dr. Larry Marks - Radiation Oncology - Lung US
-
03/13/19 - Dr. Kenneth Rosenzweig - Radiation Oncology - Lung US
-
05/13/21 - Dr. Candace Johnstone - Radiation Oncology - Lung
oligometastatic metastatic disease, genetic sequencing, MRI,
-
06/03/2021 - Dr. Candace Johnstone - Radiation Oncology - Palliative
Recurrent lung carcinoma, dose, metastatic colon cancer treatment with hemoptysis, quad shot radiation,
-
09/02/2021 - Dr. Candice Johnstone - Radiation Oncology - US Lung
-
02/10/2022 - Dr Candice Johnstone - Radiation Oncology - Lung and Palliative
-
09/15/2022 - Dr. Naveen Mummudi - Radiation Oncology- India Lung
SCLC, paraneoplastic syndromes, neuroendocrine tumors, LCNEC, TNM staging, VALSG staging, PCI, HA-WBRT, SRS
-
10/06/2022 - Dr. Candice Johnstone - Radiation Oncology - Lung/Esophageal
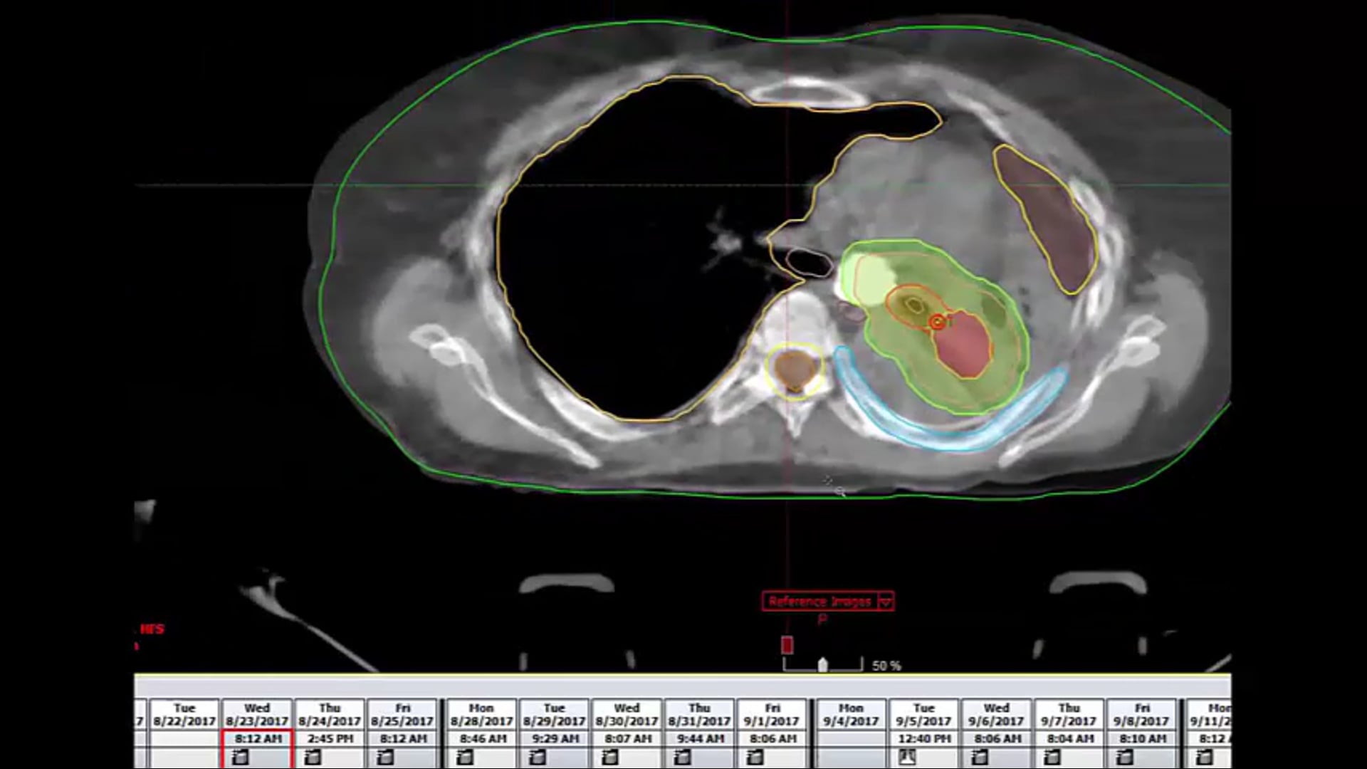
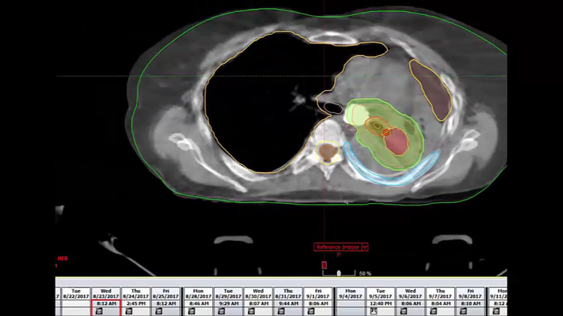
refused chemotherapy, tumor, dose-volume constraints, CORSAIR, 55Gy 20 regimen, SBRT, CTV, clinical target volume, fractionation
-
India SBRT Lung Sayan Paul August 10 2023 video edit