-
02/18/21 - Dr. Catheryn Yashar - Radiation Oncology - GYN US
-
09/15/20 - Dr. David Gaffney - Radiation Oncology - GYN US
-
07/15/20 - Dr. Christine Fisher - Radiation Oncology - GYN US
-
03/26/20 - Dr. Catheryn Yashar - Radiation Oncology - GYN US
-
02/25/20 - Dr. David Gaffney - Radiation Oncology - GYN US
-
02/22/19 - Dr. Akila Viswanathan - Radiation Oncology - GYN US
-
11/16/18 - Dr. Catheryn Yashar - Radiation Oncology - GYN US
-
04/29/21 - Dr. Jyoti Mayadev - Radiation Oncology - GYN
adenocarcinoma of the endometrium, endometrial cancer, metastatic disease, immunotherapy, systemic therapy, dosage
-
06/17/2021 - Dr. Cathryn Yashar - Radiation Oncology - GYN
STARS study, recurrent carcinoma, dosage, fractions, implants, squamous cell carcinoma, LBI
-
02/08/2023 - Dr. Christine Fisher - Radiation Oncology - US GYN
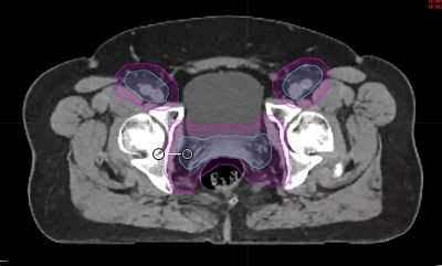
endometrial adenocarcinoma, para-aortic nodes, PET CT, diabetes, charcot arthropathy, groin nodes, pelvis, negative cervical margins, cisplatin, small bowel, Harkenrider, contouring, MRI, tumor, vaginal bleeding, relapse, persistence, cylinder, dose distribution, dosimetry, brachytherapy, fractio...
-
06/14/2023 - Dr. Christine Fisher - Radiation Oncology - GYN
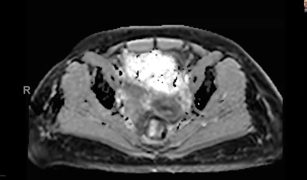
squamous cell carcinoma, dysplasia, PET, SIB, brachytherapy, endocervical, MRI, nodal location, inguinofemoral, right external iliac, CTV, deescalation, dosimetry, sigmoid, hysterectomy, concurrent chemoradiation, stenotic cervix, abdominal infection, external planning, avoid structure, antibioti...
-
08/23/2023 - Dr Christine Fisher - Radiation Oncology - GYN
-
09/20/2023 - Dr. Christine Fisher - Radiation Oncology - GYN
-
10/18/2023 - Dr. Christine Fisher - Radiation Oncology - GYN
-
12/27/2013 - Dr. Christine Fisher - Radiation Oncology - GYN
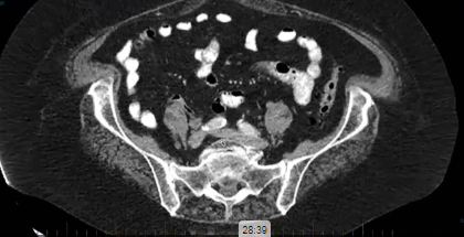
chemotherapy, radiation therapy, sandwich regimen, brachytherapy, well differentiated endometrioid adenocarcinoma, neoadjuvant chemotherapy, small bowel, dilation, dosimetry, gross disease dose, MRI, cirrhosis, external beam radiation, Rotte Y applicator, CT scan, dual tandem, 3-D printing, endom...
-
02/07/24 - Dr. Christine Fisher - Radiation Oncology - GYN
-
03/14/2024 - Dr. Christine Fisher - Radiation Oncology - GYN
-
04/18/2024 - Dr. Christine Fisher - Radiation Oncology - GYN
-
05/16/2024 - Dr. Christine Fisher - Radiation Oncology - GYN
-
07/18/2024 - Dr. Christine Fisher - Radiation Oncology - GYN
-
08/15/2024 - Dr. Christine Fisher - Radiation Oncology - GYN
-
09/19/2024 - Dr. Christine Fisher - Radiation Oncology - GYN
-
05/22/2026 - Dr. Beth Erickson - Radiation Oncology - GYN
-
07/24/2025 - Dr. Beth Erickson - Radiation Oncology - GYN