Live stream preview
02/25/21 - Dr. Ronald Chen - Radiation Oncology - GU US
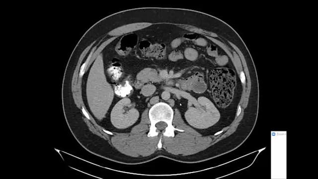
Chartrounds US - GU
•
58m
Renal cell CA, recurrent renal cancer, kidney mass, SBRT, small bowel dose constraints, bladder management during treatment, boost dose,
Up Next in Chartrounds US - GU
-
02/16/21 - Dr. Howard Sandler - Radia...
Stage II seminoma, testicular tumor, second malignancies, BEP chemotherapy, PSA, hypofractionation,
-
01/30 - Dr. Ronald Chen - Radiation ...
Stage IV prostate, tissue sparing, discordant PSA and biopsy, Gleason score, treatment, margins for SBRT, patient selection,
-
10/13/20 - Dr. Howard Sandler - Radia...
Prostate cancer, mesenteric disease, palliative care, muscle invasive bladder carcinoma, bladder mass, bladder preservation, Gleason 3 + 3