-
02/10/21 - Dr. Harvey Mamon - Radiation Oncology - GI
-
12/30/20 - Dr. Harvey Mamon - Radiation Oncology - GI US
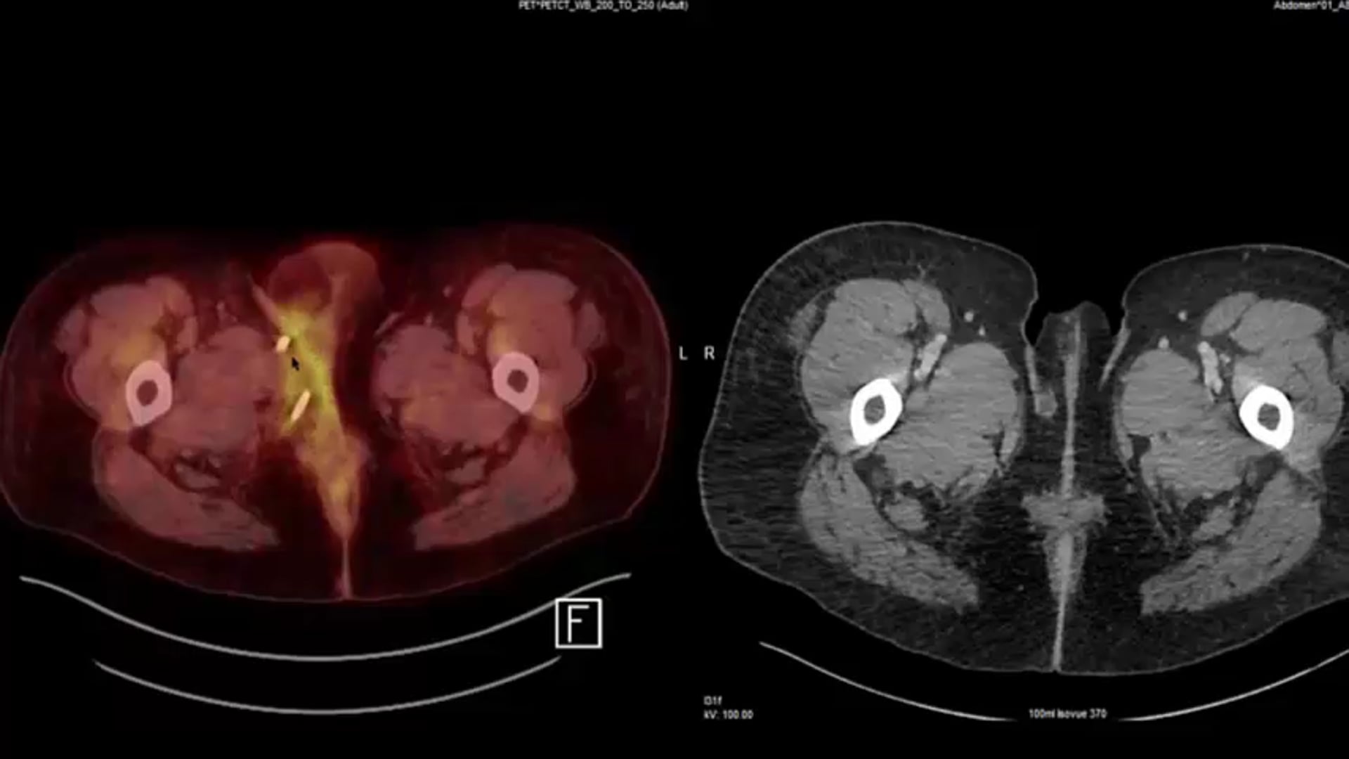
Case 1:
63 yo Anal T3
Large LN adjacent to tumor
small bowel toxicity of full dose tradeoffs vs. sparing
Dose Constraints not an all or none option
Nodes conedown/boost
Highest does first course
Questioning of RTOG-2509Case 2:
75 yo Multifocal Esophagus (3 masses plus LNs)
masses at cervical, m... -
10/14/20 - Dr. Harvey Mamon - Radiation Oncology - GI US
-
09/09/20 - Dr. Harvey Mamon - Radiation Oncology - GI US
-
06/17/20 - Dr. Harvey Mamon - Radiation Oncology - GI US
-
02/19/20 - Dr. Harvey Mamon - Radiation Oncology - GI US
-
11/13/19 - Dr. Harvey Mamon - Radiation Oncology - GI US
-
12/19/18 - Dr. Harvey Mamon - Radiation Oncology - GI US
-
04/14/21 Dr. Harvey Mamon - Radiation Oncology - GI
-
06/16/2021 - Dr. Harvey Mamon - Radiation Oncology - GI
ASCO, squamous cell carcinoma, liver lesion, metastatic disease, liver SBRT, watch and wait strategy
-
08/18/2021 - Dr. Harvey Mamon - Radiation Oncology - US GI
-
GI Mamon October 13 2021 video edit
-
12/08/2021 - Dr. Harvey Mamon - Radiation Oncology - US GI
-
03/02/2023 - Dr. GI Kanhu Charan Patro - Radiation Oncology - India GI
staging, normal structures, diseased rectum, post RT picture, treatment algorithm, contouring mesorectum, contouring guidelines, references, T-stages of rectal cancer, MRI protocol, T-1 weighted TSE, T2 weighted TSE, primary staging and restaging, approaches to imaging, structured MRI reporting, ...
-
07/05/2023 - Dr. Harvey Mamon - Radiation Oncology - GI
-
08/30/2023 - Dr. Harvey Mamon - Radiation Oncology - GI