-
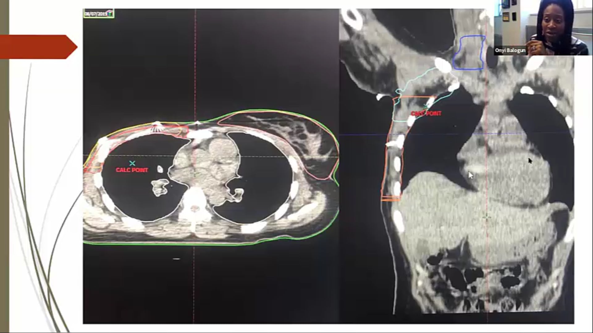
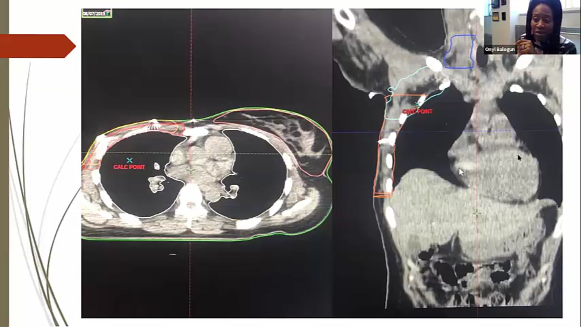
08/05/19 - Dr. Onyinye Balogun - Radiation Oncology - Breast Africa
Invasive Ductal Ca, Neo-adjuvant chemo, auxiliary node treatment, chest wall bolus, dose, treatment fields, contouring,
-
02/28/19 - Dr. Prashant Upadhyay - Radiation Oncology - Breast India
Breast contouring, Nodal RT, Nodal imaging, patient positioning, SC Node, contouring for axillary nodes, target volumes
-
06/18/18 - Dr. Silvia Formenti - Radiation Oncology - Breast Africa
Invasive ductal carcinoma, locally advance breast cancer, metastatic cancer, CT simulation procedure, CT techniques, contouring, breast cancer treatment fields